Главная
>
Новости
>
В Красноярске впервые провели операцию на открытом мозге пациентке в сознании

В Красноярске впервые провели операцию на открытом мозге пациентке в сознании

28 марта 16:32
1

В Красноярском крае впервые провели редкую операцию на головном мозге. Пациенткой стала 29-летняя девушка. Об этом рассказали в Красноярской краевой клинической больницы.

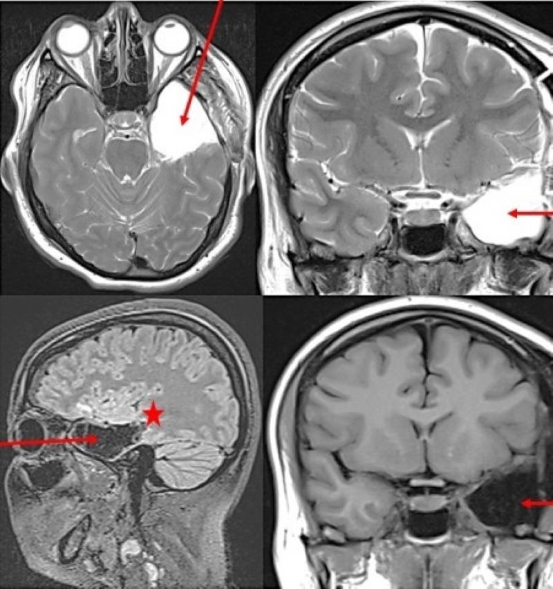
С 15 лет девушка страдала тяжелой формой эпилепсии, не поддающейся медикаментозной коррекции. Приступы могли повторяться до 6-8 раз в день, сопровождаясь головной болью, судорогами и потерей сознания. Девушку направили в стационар ККБ.

Пациентку обследовали 56 часов. Врачи провели провоцирующие приступ пробы. Это позволило зафиксировать три стереотипных эпилептических приступа, а также установить зону начала эпиприступов.

Материалы по теме

Врачи решили удалить девушке часть левой височной доли и гиппокамп, используя метод awake-хирургии — вмешательства с пробуждением. Все дело в том, что у правшей в этой части мозга расположен центр речи, который могут случайно повредить во время операции.

Девушку ввели в наркоз, чтобы нейрохирург выполнил наиболее болезненный этап — трепанацию черепа. После этого анестезиолог разбудил пациентку. Все остальное время она была в сознании. При этом нейрохирург разговаривал с пациенткой, чтобы не задеть речевой центр.

«Девушка чувствовала боль, только если я задевал оболочки мозга, сама ткань мозга лишена болевых рецепторов», — объяснил нейрохирург Павел Шнякин.

Операция прошла успешно. За неделю у пациентки не было приступов, ее речь сохранена. Девушка чувствует себя нормально.

Ссылки по теме:
Рекомендуем почитать