Главная
>
Новости
>
Врачи красноярской больницы № 20 спасли 32 пациента с тромбоэмболией легочной артерии

Врачи красноярской больницы № 20 спасли 32 пациента с тромбоэмболией легочной артерии

24 марта 11:01
1

В минздраве Красноярского края рассказали о методике, которая позволяет спасать пациентов с тромбоэмболией легочной артерии (ТЭЛА). Ее применяют в красноярской больнице № 20 и уже спасли 32 человека.

В пресс-службе отметили, что ТЭЛА  опаснейшая патология, которая приводит к закупорке легочной артерии или ее ветвей тромбами. У пациента начинаются приступы удушья и головокружения, падает давление, нарушается сердечный ритм и возникает боль в грудной клетке. Человек может потерять сознание, а если быстро не оказать помощь  умереть. Даже у спасенных пациентов возникают тяжелые необратимые проблемы с сердцем. Наиболее высок риск образования тромбов у пациентов с варикозным расширением вен на ногах, у курящих и малоподвижных людей, а также у пожилых людей старше 75 лет (по последним данным, у них заболеваемость ТЭЛА регистрируется в 8 раз чаще, чем у пациентов меньшего возраста).

В России до недавнего времени применялся единственный способ лечения  тромб растворяли при помощи специального препарата, который вводился в вену и постепенно распространялся по всей кровеносной системе, либо вводился прямо в сам тромб. Недавно в краевой больнице опробовали способ разрушения тромба с помощью специального ультразвукового аппарата.

В красноярской клинической больнице № 20 уже полтора года применяют еще один метод. Он позволил спасти жизни 32 пациентов и не требует сложного дорогостоящего оборудования, как метод краевых коллег.

В больнице рассказывают, что одним из первых пациентов, на котором опробовали метод механической фрагментации тромба, стала 18-летняя девушка. В тот день утром ее выписали из другого стационара после операции на сломанном бедре, а вечером ее доставили в сосудистый центр больницы № 20 в тяжелом состоянии с симптомами тромбоэмболии. Врач-реаниматолог Владимир Радионов предложил попробовать разрушить тромб, который то перекрывал ток крови полностью, то частично открывал артерию. Для этого в легочную артерию под рентген-контролем ввели катетер, который обычно используется для оценки гемодинамики в отделах сердца. Девушка открыла глаза и стабилизировалась прямо на операционном столе и в скором времени была выписана из стационара со значительным улучшением.

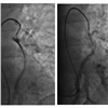
Применяемая в 20-й больнице методика позволяет врачам через один прокол проникнуть в венозную сеть, откуда через сердце добраться до легочной артерии и ее ветви. Тромб разрушается на фрагменты. Это позволяет быстрее его растворить и избежать тяжелых осложнений за счет сокращения времени и снижения количества препарата. Врач наблюдает за процессом с помощью ангиографа. Для этого пациенту в кровь вводят контрастное вещество.

«Такая операция длится от получаса до двух часов, зависит от сложности доступа к тромбу, количества изгибов сосудистого русла, по которым нужно пройти, объема действий, которые нужно выполнить врачу-оператору. Есть тромбы очень податливые, которые буквально разрушаются на глазах. Есть такие, с которыми приходится изрядно повозиться. Как только удается разрушить тромб, в область тромбоза или непосредственно в тромбомассы вводится тромболитик, который завершает процесс» рассказали в минздраве.

Врачи отмечают, в России регистрируется от 40 до 180 случаев ТЭЛА на 100 тыс. населения. Летальность составляет 10-15%. При этом прижизненно этот диагноз ставится только у 7% пациентов. В 2024 году через реанимационное отделение 20-й больницы прошло 27 пациентов с массивными ТЭЛА. Самому молодому пациенту 46 лет, самому старшему — 84.

Ссылки по теме:
Рекомендуем почитать